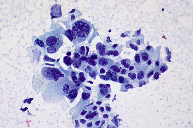
Dass zu viel Arbeit krank machen kann, ist schon lange kein Geheimnis mehr. Eine zu hohe Belastung im Job kann mit erhöhtem Stresslevel, Kopfschmerzen, Schlafproblemen und gar Herz-Kreislauf-Erkrankungen bis hin zum Herzinfarkt einhergehen. Forscher haben nun einen weiteren Zusammenhang entdeckt, und zwar zwischen dauerhaft erhöhtem Arbeitsstress und dem Risiko für Darmkrebs und Speiseröhrenkrebs. Und auch Lungenkrebs scheint bei viel gestressten Menschen öfter aufzutreten – auch dann, wenn man das Risiko durch Rauchen berücksichtigt. Foto: Non-small Cell Carcinoma of the Lung, FNA, Ed Uthman, Flickr, CC BY-SA 2.0 Diverse Faktoren führen zu Krebserkrankungen Krebs gehört weltweit zu den häufigsten Erkrankungen. Was genau die Mutation der Körperzellen auslöst, ist jedoch auch heute nur in Teilen bekannt. Zu den bekannten Einflussfaktoren gehören neben Umwelteinflüssen auch die Ernährung und die Lebensweise. Rauchen und Übergewicht kann das Tumorrisiko erhöhen, aber auch biologische Faktoren wie genetische Veranlagungen oder die Körpergröße nehmen Einfluss auf das individuelle Risiko, an Krebs zu erkranken. Ein Team rund um Tingting Yang vom Volkshospital im chinesischen Henan wollten untersuchen, welchen Einfluss Stress auf das Krebsrisiko hat. Zwar konnten einige Studien bereits Indizien für einen Zusammenhang zwischen Krebserkrankungen und chronischem Stress gefunden, aber bisher war nicht geklärt, ob der Stress selber ein Risikofaktor ist oder mit ihm verbundene Verhaltensweisen wie etwa Rauchen und ungesunde Ernährung. Um dieser Frage nachzugehen, haben die Forscher Gesundheitsdaten von mehr als 280.000 Teilnehmern ausgewertet, die an Langzeitstudien in Nordamerika und Europa teilgenommen haben. Bei ihrer Analyse konzentrierte sich das Team auf Zusammenhänge zwischen dem Stressniveau der Probanden und verschiedenen Krebserkrankungen. Stress fördert das Krebsrisiko Und die Forscher wurden fündig: Bei Darm- und Speiseröhrenkrebs fanden sie eine deutliche Korrelation. Und auch bei Lungenkrebs zeigte sich eine deutliche Häufung bei übermäßig gestressten Menschen. Auch bei der Berücksichtigung anderer Risikofaktoren wie etwa Rauchen, Übergewicht und Lebensweise blieb der Zusammenhang erhalten. Überrascht waren die Forscher jedoch, als sie entdeckten, dass die Frage, für welche Krebsart der Stress anfällig macht, auch vom Wohnort abhängt. „ In Nordamerika war der Effekt des Arbeitsstresses auf den Darmkrebs statistisch signifikant, nicht aber in Europa„, heißt es von Seiten des Teams. In Europa wirkte sich der Stress dagegen vornehmlich auf das Speisröhrenkrebs-Risiko aus. Die Studie der Wissenschaftler zeigt zwar die Korrelationen auf, aber welche Mechanismen hinter diesen und speziell den Unterschied beim Wohnort erklären, wissen die Forscher nicht. „ Es existieren verschiedenen biologische Mechanismen, durch die Stress zu Krebs führen kann„, so Yang. Bei Prostatakrebs, Brustkrebs und Eierstockkrebs fanden die Forscher dagegen keinerlei Zusammenhänge mit dem Stressniveau. Teile den Artikel oder unterstütze uns mit einer Spende. Facebook Facebook Twitter Twitter WhatsApp WhatsApp Email E-Mail Newsletter
Biolaser aus Birken und Erdnüssen: Forschungsteam entwickelt optische Technologie aus Pflanzenmaterial