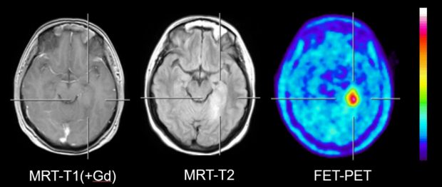
Hirntumore und deren Ausdehnung lassen sich mit einem Verfahren namens Positronen-Emissionen-Tomographie (PET) hochpräzise erkennen. Nach jahrzehntelanger Arbeit am Forschungzentrum Jülich (FZJ) bei Aachen hat der Gemeinsame Bundesausschuss, das höchste Beschlussgremium der gemeinsamen Selbstverwaltung im deutschen Gesundheitswesen, jetzt beschlossen, dass die Kosten für eine PET-Untersuchung von den Krankenkassen getragen wird. Dem für die Diagnose nötigen Radiopharmakon [18F]-Fluorethyltyrosin (FET) fehlt allerdings noch die arzneimittelrechtliche Zulassung, sodass PET vorerst nur in spezialisierten Zentren angewendet werden darf. Bild: Forschungszentrum Jülich Tumore leuchten in rot und gelb FET wird vor der Untersuchung in die Blutbahn gespritzt. Es sammelt sich bevorzug in Tumorzellen an. Es emittiert Positronen, das sind elektrisch positiv geladene Elementarteilchen, praktisch die Gegenstücke von Elektronen. Wenn FET gespritzt ist dauert es ein wenig, bis es dort angekommen ist, wo es hinsoll. Es sendet Positronen aus, die von einer Spezialkamera aufgefangen werden, die auf den Kopf des Patienten gerichtet ist. Tumore leuchten auf diesen Bildern leuchtend rot/gelb auf. Auf Aufnahmen von Magnetresonanztomographen sind solche Tumore kaum auszumachen. Das Verfahren lässt sich nicht nur nutzen, um anfänglichen Krebsbefall und die Ausdehnung des Tumors zu erfassen, sondern auch in der Nachsorge, etwa während und nach einer Strahlentherapie. Dann kann man sehen, wie die Therapie anschlägt und ob nach dem Ende der Behandlung noch Reste des Tumors vorhanden sind, die möglicherweise auf andere Art bekämpft werden können. Klarheit über Erfolg oder Misserfolg Die radioaktiv markierte Aminosäure FET wurde in den Neunzigerjahren im FZJ-Institut für Nuklearchemie entwickelt. „Unser Team hat in Kooperation mit den Universitätskliniken in Aachen, Bonn, Köln und Düsseldorf inzwischen mehr als 170 experimentelle und klinische Studien über dieses Verfahren publiziert und über 8000 Patienten mit Hirntumoren untersucht“, so Professor Karl-Josef Langen, der maßgeblich an der Entwicklung beteiligt war. Einzugsgebiet von 300 Kilometern Inzwischen greifen Fachärzte aus einem Umkreis von mehr als 300 Kilometern auf die Expertise des Jülicher Instituts beziehungsweise der Nuklearmedizinischen Klinik des Universitätsklinikums Aachen zurück. Die aktuellen Forschungsarbeiten konzentrieren sich darauf, die die PET-Diagnostik mit der Hochfeld-Magnetresonanztomographie zu kombinieren, um die Aussagekraft weiter zu steigern. via Forschungszentrum Jülich Teile den Artikel oder unterstütze uns mit einer Spende. Facebook Facebook Twitter Twitter WhatsApp WhatsApp Email E-Mail Newsletter