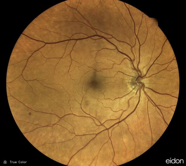
Forscher der Universität und des Universitätsklinikums Bonn haben eine Methode entwickelt, die sich zur Früherkennung von Atherosklerose eignen könnte, der oft lebensgefährlichen Verkalkung der Arterien, die zu Schlaganfall und Herzinfarkt führen kann. Mit einer selbstlernenden Software konnten sie bei Patienten mit Gefäßveränderungen diese oft schonidentifizieren, obwohl noch keine Symptome zu erkennen waren. Basis waren Fotos aus einem Organ, das normalerweise nicht mit der Arterienverkalkung in Verbindung gebracht wird: dem Auge. 


Bild: Mueller, S. und Wintergerst, M.W.M. et al.

Geeignet für Vorsorgeuntersuchungen

Das Verfahren könnte sich sogar für Vorsorgeuntersuchungen eignen, weil es relativ kostengünstig ist. Augenärzte fotografieren routinemäßig den Augenhintergrund, um bestimmte Krankheiten zu erkennen beziehungsweise auszuschließen. Viele Bilder, die so entstehen, haben jedoch eine zu geringe Auflösung. Da müssten die Augenärzte in Kameras investieren.

„Wir haben 97 Augen von Frauen und Männern fotografiert, die unter einer Arterienverkalkung litten“, so Maximilian Wintergerst von der Universitäts-Augenklinik Bonn. „Bei mehr als der Hälfte von ihnen war die Krankheit noch in einem Stadium, in dem sie keine Beschwerden verursachte.“ Zusätzlich nahm das Team den Hintergrund von 34 Augen gesunder Kontrollpersonen auf.


Eigentlich brauchte man zehntausende Fotos

Mit den Bildern fütterten sie dann ein künstliches neuronales Netzwerk (KNN). Dabei handelt es sich um eine Software, die in ihrer Funktionsweise dem menschlichen Gehirn nachempfunden ist. Wenn man ein solches KNN mit Fotos trainiert, deren Inhalt dem Rechner bekannt ist, dann kann dieser später unbekannte Aufnahmen interpretieren. Damit das mit ausreichender Sicherheit klappt, benötigt man jedoch im Normalfall mehrere zehntausend Trainings-Fotos, weitaus mehr, als die Bonner Entwickler zur Verfügung hatten.

Dank Vortraining 80 Prozent Trefferquote

„Wir haben daher zunächst ein Vortraining mit einer anderen Erkrankung durchgeführt, die die Gefäße im Auge angreift“, so Professor Thomas Schultz vom Bonn-Aachen International Center for Information Technology und dem Institut für Informatik II der Universität Bonn. Dazu nutzten die Forschenden einen Datensatz von mehr als 80.000 zusätzlichen Fotos. „Der Algorithmus lernt aus ihnen gewissermaßen, worauf er besonders achten muss“, sagt Schultz.

Das so trainierte KNN konnte anhand der Augenfotos mit bemerkenswerter Genauigkeit diagnostizieren, ob sie von einem Patienten mit Arterienverkalkung oder einem Gesunden stammten. „Gut 80 Prozent aller Betroffenen wurden korrekt identifiziert“, freut sich Schulz. Das sei umso bemerkenswerter, weil selbst geschulte Augenärzte eine solche Krankheit an Hand des Augenhintergrunds kaum diagnostizieren können.

 

via Uni Bonn

Schreibe einen Kommentar

Deine E-Mail-Adresse wird nicht veröffentlicht. Erforderliche Felder sind mit * markiert.